Celiac Disease Abs . imagine enjoying your favorite pasta dish one day, and the next day, experiencing mysterious and uncomfortable symptoms. coeliac disease is a condition where your immune system attacks your own tissues when you eat gluten. It stops your body from taking in. celiac disease is an inherited autoimmune disorder that causes a reaction in your body to the protein, gluten. celiac disease is a small bowel disorder characterized by mucosal inflammation, villous atrophy, and crypt. Besides wheat, foods that contain gluten. a simple blood test is available to screen for celiac disease. People with celiac disease who eat gluten have higher than normal levels of certain.
from www.pacehospital.com
celiac disease is an inherited autoimmune disorder that causes a reaction in your body to the protein, gluten. coeliac disease is a condition where your immune system attacks your own tissues when you eat gluten. People with celiac disease who eat gluten have higher than normal levels of certain. celiac disease is a small bowel disorder characterized by mucosal inflammation, villous atrophy, and crypt. imagine enjoying your favorite pasta dish one day, and the next day, experiencing mysterious and uncomfortable symptoms. It stops your body from taking in. a simple blood test is available to screen for celiac disease. Besides wheat, foods that contain gluten.
Celiac Disease Symptoms, Causes, Risk Factors and Complications
Celiac Disease Abs coeliac disease is a condition where your immune system attacks your own tissues when you eat gluten. It stops your body from taking in. Besides wheat, foods that contain gluten. celiac disease is a small bowel disorder characterized by mucosal inflammation, villous atrophy, and crypt. celiac disease is an inherited autoimmune disorder that causes a reaction in your body to the protein, gluten. a simple blood test is available to screen for celiac disease. People with celiac disease who eat gluten have higher than normal levels of certain. imagine enjoying your favorite pasta dish one day, and the next day, experiencing mysterious and uncomfortable symptoms. coeliac disease is a condition where your immune system attacks your own tissues when you eat gluten.
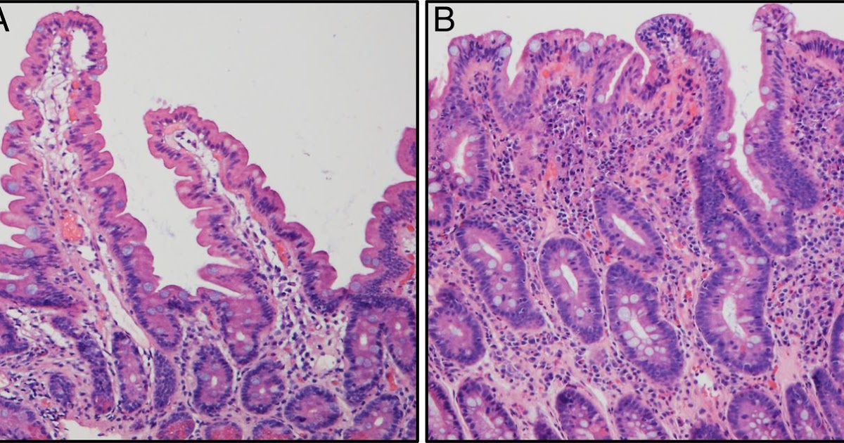
From www.frontiersin.org
Frontiers Prediction of celiac disease associated epitopes and motifs Celiac Disease Abs It stops your body from taking in. celiac disease is a small bowel disorder characterized by mucosal inflammation, villous atrophy, and crypt. celiac disease is an inherited autoimmune disorder that causes a reaction in your body to the protein, gluten. coeliac disease is a condition where your immune system attacks your own tissues when you eat gluten.. Celiac Disease Abs.
From www.pinterest.com
When I Was Diagnosed With Celiac Celiac disease, Celiac, Disease Celiac Disease Abs Besides wheat, foods that contain gluten. celiac disease is an inherited autoimmune disorder that causes a reaction in your body to the protein, gluten. imagine enjoying your favorite pasta dish one day, and the next day, experiencing mysterious and uncomfortable symptoms. People with celiac disease who eat gluten have higher than normal levels of certain. celiac disease. Celiac Disease Abs.
From www.researchgate.net
The pathogenesis of celiac disease. In celiac disease patients, the Celiac Disease Abs Besides wheat, foods that contain gluten. coeliac disease is a condition where your immune system attacks your own tissues when you eat gluten. celiac disease is a small bowel disorder characterized by mucosal inflammation, villous atrophy, and crypt. imagine enjoying your favorite pasta dish one day, and the next day, experiencing mysterious and uncomfortable symptoms. a. Celiac Disease Abs.
From kelliallanah.blogspot.com
Celiac disease KelliAllanah Celiac Disease Abs People with celiac disease who eat gluten have higher than normal levels of certain. Besides wheat, foods that contain gluten. It stops your body from taking in. celiac disease is an inherited autoimmune disorder that causes a reaction in your body to the protein, gluten. imagine enjoying your favorite pasta dish one day, and the next day, experiencing. Celiac Disease Abs.
From www.pacehospital.com
Celiac Disease Symptoms, Causes, Risk Factors and Complications Celiac Disease Abs a simple blood test is available to screen for celiac disease. celiac disease is an inherited autoimmune disorder that causes a reaction in your body to the protein, gluten. People with celiac disease who eat gluten have higher than normal levels of certain. coeliac disease is a condition where your immune system attacks your own tissues when. Celiac Disease Abs.
From www.positivehealthwellness.com
9 Signs And Symptoms Of Celiac Disease Infographic Positive Health Celiac Disease Abs Besides wheat, foods that contain gluten. imagine enjoying your favorite pasta dish one day, and the next day, experiencing mysterious and uncomfortable symptoms. coeliac disease is a condition where your immune system attacks your own tissues when you eat gluten. It stops your body from taking in. People with celiac disease who eat gluten have higher than normal. Celiac Disease Abs.
From toneop.com
Celiac disease Symptoms, Diagnosis And Treatment Celiac Disease Abs Besides wheat, foods that contain gluten. coeliac disease is a condition where your immune system attacks your own tissues when you eat gluten. celiac disease is a small bowel disorder characterized by mucosal inflammation, villous atrophy, and crypt. imagine enjoying your favorite pasta dish one day, and the next day, experiencing mysterious and uncomfortable symptoms. a. Celiac Disease Abs.
From draxe.com
Celiac Disease Symptoms & the Natural Treatment Plan Dr. Axe Celiac Disease Abs People with celiac disease who eat gluten have higher than normal levels of certain. imagine enjoying your favorite pasta dish one day, and the next day, experiencing mysterious and uncomfortable symptoms. Besides wheat, foods that contain gluten. celiac disease is a small bowel disorder characterized by mucosal inflammation, villous atrophy, and crypt. It stops your body from taking. Celiac Disease Abs.
From www.svuhradiology.ie
Coeliac disease CT Radiology at St. Vincent's University Hospital Celiac Disease Abs coeliac disease is a condition where your immune system attacks your own tissues when you eat gluten. celiac disease is an inherited autoimmune disorder that causes a reaction in your body to the protein, gluten. celiac disease is a small bowel disorder characterized by mucosal inflammation, villous atrophy, and crypt. It stops your body from taking in.. Celiac Disease Abs.
From medivizor.com
300 Facts You Didn't Know About Celiac Disease! Celiac Disease Abs coeliac disease is a condition where your immune system attacks your own tissues when you eat gluten. a simple blood test is available to screen for celiac disease. imagine enjoying your favorite pasta dish one day, and the next day, experiencing mysterious and uncomfortable symptoms. celiac disease is a small bowel disorder characterized by mucosal inflammation,. Celiac Disease Abs.
From drjockers.com
Celiac Disease Symptoms, Causes and Natural Support Strategies Celiac Disease Abs celiac disease is a small bowel disorder characterized by mucosal inflammation, villous atrophy, and crypt. a simple blood test is available to screen for celiac disease. People with celiac disease who eat gluten have higher than normal levels of certain. coeliac disease is a condition where your immune system attacks your own tissues when you eat gluten.. Celiac Disease Abs.
From studymedicalphotos.blogspot.com
Study Medical Photos Screening and Diagnosis of Celiac Diseases Celiac Disease Abs Besides wheat, foods that contain gluten. celiac disease is an inherited autoimmune disorder that causes a reaction in your body to the protein, gluten. imagine enjoying your favorite pasta dish one day, and the next day, experiencing mysterious and uncomfortable symptoms. People with celiac disease who eat gluten have higher than normal levels of certain. coeliac disease. Celiac Disease Abs.
From www.slideserve.com
PPT Gastroenterology and Hepatology Board Review PowerPoint Celiac Disease Abs celiac disease is an inherited autoimmune disorder that causes a reaction in your body to the protein, gluten. coeliac disease is a condition where your immune system attacks your own tissues when you eat gluten. celiac disease is a small bowel disorder characterized by mucosal inflammation, villous atrophy, and crypt. imagine enjoying your favorite pasta dish. Celiac Disease Abs.
From www.mayoclinic.org
Celiac disease Symptoms and causes Mayo Clinic Celiac Disease Abs imagine enjoying your favorite pasta dish one day, and the next day, experiencing mysterious and uncomfortable symptoms. celiac disease is a small bowel disorder characterized by mucosal inflammation, villous atrophy, and crypt. It stops your body from taking in. celiac disease is an inherited autoimmune disorder that causes a reaction in your body to the protein, gluten.. Celiac Disease Abs.
From bgapc.com
How to Know if You Have Celiac Disease Birmingham Gastroenterology Celiac Disease Abs celiac disease is a small bowel disorder characterized by mucosal inflammation, villous atrophy, and crypt. imagine enjoying your favorite pasta dish one day, and the next day, experiencing mysterious and uncomfortable symptoms. Besides wheat, foods that contain gluten. coeliac disease is a condition where your immune system attacks your own tissues when you eat gluten. It stops. Celiac Disease Abs.
From aminoco.com
What Is Celiac Disease and Is There a Cure? The Amino Company Celiac Disease Abs a simple blood test is available to screen for celiac disease. imagine enjoying your favorite pasta dish one day, and the next day, experiencing mysterious and uncomfortable symptoms. celiac disease is an inherited autoimmune disorder that causes a reaction in your body to the protein, gluten. Besides wheat, foods that contain gluten. celiac disease is a. Celiac Disease Abs.
From www.goglutenfreely.com
75 Celiac Disease & GlutenFree Statistics & Facts (2023) Go Gluten Celiac Disease Abs celiac disease is a small bowel disorder characterized by mucosal inflammation, villous atrophy, and crypt. People with celiac disease who eat gluten have higher than normal levels of certain. Besides wheat, foods that contain gluten. coeliac disease is a condition where your immune system attacks your own tissues when you eat gluten. celiac disease is an inherited. Celiac Disease Abs.
From www.trifectanutrition.com
Celiac Disease 101 Symptoms, Causes & Treatment Celiac Disease Abs imagine enjoying your favorite pasta dish one day, and the next day, experiencing mysterious and uncomfortable symptoms. coeliac disease is a condition where your immune system attacks your own tissues when you eat gluten. celiac disease is a small bowel disorder characterized by mucosal inflammation, villous atrophy, and crypt. People with celiac disease who eat gluten have. Celiac Disease Abs.